Rehabilitación NeuroOclusal (RNO): corrigiendo maloclusiones desde la infancia
En Clínica Dental Olmo creemos que muchos problemas de mordida pueden prevenirse o corregirse de forma sencilla si se detectan a tiempo. Para ello contamos con la Rehabilitación NeuroOclusal (RNO), un método desarrollado por el Dr. Pedro Planas que nos permite guiar el crecimiento de los huesos y la función de la boca de manera natural.
¿Qué es la RNO?
La RNO es una técnica odontológica que busca equilibrar la función de la boca (cómo mordemos, masticamos y movemos la mandíbula) para que los dientes y los huesos crezcan en armonía. Se aplica principalmente en niños, cuando aún están en crecimiento, porque es el momento ideal para corregir maloclusiones esqueléticas (problemas en la relación entre maxilar y mandíbula).
¿Por qué es importante empezar pronto?
Muchas veces vemos niños que presentan:
– Mordida cruzada.
– Desviación de la mandíbula hacia un lado.
– Sobremordida o mordida abierta.
– Desgastes prematuros de dientes temporales.
Si estos problemas no se tratan de forma temprana, con el tiempo el crecimiento óseo se fija de manera incorrecta. Más adelante, la ortodoncia convencional solo podrá camuflar el problema estético, pero no corregir el origen esquelético.
La RNO, en cambio, aprovecha la capacidad natural de crecimiento del niño para guiar los huesos y conseguir una mordida equilibrada desde la base.
¿Cómo funciona el tratamiento?
En la RNO utilizamos pequeños aparatos llamados pistas (pistas directas e indirectas de Planas):
– Se colocan en dientes temporales o definitivos en erupción.
– Estimulan la masticación bilateral alternada (es decir, masticar por los dos lados).
– Favorecen el desarrollo equilibrado de la mandíbula y el maxilar.
El tratamiento es sencillo, indoloro y se integra en la vida diaria del niño sin grandes dificultades.
Caso clínico en Clínica Dental Olmo

Antes del tratamiento (extraoral): El paciente presentaba una mordida cruzada con desviación mandibular hacia la derecha, lo que condicionaba la función masticatoria y la estética de la sonrisa.

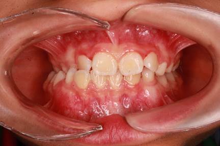
Antes del tratamiento (intraoral): Se observa mordida cruzada anterior y lateral, con desviación mandibular y contacto invertido entre incisivos, lo que comprometía tanto la función masticatoria como el desarrollo del maxilar.

Durante el tratamiento (vista superior): Colocación de un disyuntor de McNamara adaptado con pistas directas para guiar la función masticatoria y estimular un desarrollo óseo equilibrado.

Durante el tratamiento (vista lateral): Detalle de la pista directa incorporada sobre el disyuntor, diseñada para favorecer la masticación bilateral alternada y corregir la desviación mandibular.

Después de la fase de RNO/interceptiva: La mordida cruzada y la desviación mandibular han sido corregidas con éxito mediante el uso del disyuntor de McNamara con pistas directas. El paciente presenta ahora una oclusión más equilibrada, lista para ser perfeccionada con brackets.

Resultado final tras el tratamiento completo: Gracias a la fase interceptiva con RNO y al posterior tratamiento con brackets, el paciente presenta una mordida funcional y estable, con los dientes perfectamente alineados y una sonrisa armónica.
Beneficios de la RNO
– Corrige maloclusiones desde la infancia.
– Evita problemas funcionales y estéticos en la edad adulta.
– Reduce la necesidad de tratamientos complejos en el futuro.
– Favorece una mejor función masticatoria y un desarrollo facial armónico.
En Clínica Dental Olmo
Nuestro equipo evalúa de forma individualizada cada caso infantil. Cuando detectamos signos tempranos de maloclusión, aplicamos la RNO como primera opción para guiar el crecimiento y evitar complicaciones.
👉 La clave está en la detección precoz: cuanto antes se actúe, mejores serán los resultados.
¿Quieres que estudiemos tu caso? No lo dudes, pide cita a través de nuestro teléfono o bien por Whatsapp en el 957434372 o a través de nuestra web pinchando el siguiente enlace https://www.dentalolmo.com/